English
トップページへ
お問い合わせ    交通アクセス    サイトマップ    トップページ
大学校の紹介  学科・専攻科・研究科  入学案内  キャンパスライフ  就職・進学  情報公開  研究・社会連携  入札・職員募集  水大広場  関連リンク  学内向け  
大学案内表紙画像
パンフレットの画像をクリックすると、大学案内デジタル版をご覧いただけます。
タイトル・生物生産学科
トップ学科・専攻科・研究科生物生産学科>資源増殖学講座
  資源増殖学講座
 学科の概要 生物環境学講座 資源増殖学講座
 教員 卒業後の進路 卒業後の資格
資源増殖学講座の概要
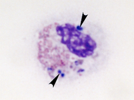
 水産物の安定供給を目指す新しい増養殖を展開するための研究を進めています。魚類やエビ類が本来もっている生体防御能を活性化することにより、健康かつ安全な魚介類の安定生産と耐病性の高い種苗の確保を目指しています。このほか、クラゲ類や、仔稚魚の餌生物にもなるプランクトンの生態学的研究や、効果的な養魚餌料の開発に関する研究も行っています。また、水産資源生物が本来持っている遺伝的な多様性や集団構造などを損なわないような資源増殖の方法を探求しています。
砂浜海岸調査 藻を食べる魚類の研究
エドワジエラ症の病原菌(矢頭)を貪食したマダイ血液中の顆粒性白血球 フグ交雑種の判別